• 因机械或刀伤导致手指脚趾断掉怎么办?

    因机械或刀伤导致手指脚趾断掉怎么办?

    ●因为机械或是刀伤等原因导致手指脚趾断掉的情况常常发生。现实生活中如果发生此类意外,该怎么办呢?以下是主要注意事项: 立即停机: 机器冲压断手指,应立即拉闸停机,将离断手指取出,必要时采取拆开机器的方法,切不可用倒转机器的方法取出手指(肢体

    发布时间:2014-03-04|来自:健康科普
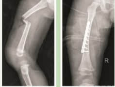
  • 小儿骨折案例分享

    小儿骨折案例分享

    小儿骨折后骨折处愈合快、塑性能力强,但有些部位的骨折(如股骨)复位后不容易固定须手术内固定。小儿血液总量很少,需要尽量控制术中出血。下面都没有输血的情况顺利完成手术。 ▲小儿骨折案例分享 : 魏家俊,男,3岁,因被汽车挤压右大腿中段致股骨中段

    发布时间:2014-03-04|来自:健康科普
  • 老年人骨折案例分享

    老年人骨折案例分享

    老年人的骨质疏松、柔韧性不够,很容易导致骨折,特别是髋部(股骨颈和粗隆间),伤后卧床,稍加活动疼痛难忍,卧床后的并发症(坠入性肺炎、尿路感染、尿路结石、褥疮、血栓形成、心肺功能衰竭等等)折磨着病人,在痛苦中死亡。这种情况病人家属往往要求我

    发布时间:2014-03-04|来自:健康科普
  • 关节骨科介绍

    关节骨科介绍

    开展全髋关节置换术、全膝关节置换术、肱骨头置换术、桡骨小头置换术。 全髋关节置换术: 全髋关节置换术适应于陈旧性股骨颈骨折、股骨头缺血性坏死、退行性骨性关节炎、类风湿性关节炎和强直性脊柱炎、髋关节强直、慢性髋关节脱位、关节成型术失败的病例、

    发布时间:2014-03-04|来自:健康科普
  • 脊柱骨折案例分享

    脊柱骨折案例分享

    ▲案例一: 患者吴秀波,女,26岁,因腰背部疼痛向左小腿后外侧放射痛3天。清晨左下肢无力,摔倒在卫生间,急送本院。经检查,诊断为急性腰椎间盘突出症。当日行手术治疗,采用微创手术方式,半椎板咬除,损伤小,不影响脊柱的稳定性,术后3天下床活动,一个

    发布时间:2014-03-04|来自:健康科普
  • 脊柱骨科介绍

    脊柱骨科介绍

    颈肩痛、腰腿痛 是常见

    发布时间:2014-03-04|来自:健康科普
  • 骨折案例分享

    骨折案例分享

    骨折如果治疗不当会造成畸形愈合、骨不连等后果,专业治疗和精心的术后辅导,对于预后非常重要。骨折治疗要过三关,首先是手术关,然后是术后感染关,第三关是骨折愈合与功能恢复关。广东药科大学广州复星禅诚医院骨科能良好处理第一、二关,手术均达到高质复位,没有意外感染,

    发布时间:2014-03-04|来自:健康科普
  • 创伤骨科相关常识

    创伤骨科相关常识

    ▲骨折的主要症状: 1、疼痛剧烈,在骨折处有明显压痛。 2、肿胀。 3、骨折局部畸形,包括肢体短缩、成角、旋转等。 4、骨摩擦音,骨折断端互相磨擦所发生的声音。 5、功能障碍,原有的运动功能受到影响甚至完全丧失。 ▲身边人发生意外骨折,需进行骨折临时

    发布时间:2014-03-04|来自:健康科普
  • 女性如何保护心脏健康?

    女性如何保护心脏健康?

    数据显示,女性由于心血管疾病死亡的人数是因乳腺癌、宫颈癌等癌症死亡人数的两倍。女性患上心脏病的危险因素与男性有一定区别,所以女性保持心脏健康的秘诀与男性也有差异,主要包括远离香烟、控制腰围、坚持运动、合理饮食等方面。 远离香烟: 吸烟是心血

    发布时间:2014-03-04|来自:健康科普
  • 患肛周脓肿不治疗有哪些危害?

    患肛周脓肿不治疗有哪些危害?

    肛周脓肿在最早的初期阶段,患者很容易容易忽视,而未引起足够的警惕,所以对突如其来的肛周肿痛、破溃流脓,经常是措手不及,不明究竟。也有部分患者认为是自己火毒过盛,臀部上长了疖子,不以为然而任其发展。其实肛周脓肿拖延不治疗的危害是很大的,下面

    发布时间:2014-03-03|来自:健康科普
  • 如何预防腰椎疾病的发生?

    如何预防腰椎疾病的发生?

    腰椎间盘突出的疾病发生在生活中是较为多见的,因此,预防腰椎间盘突出变得非常有意义。了解预防腰椎间盘突出的方法,才能让大家更好预防腰椎间盘突出,预防腰椎间盘突出要从日常生活中做起。那么如何预防腰椎疾病的发生?广东药学院附属第三医院骨科专家为

    发布时间:2014-02-11|来自:健康科普
  • 腰椎管狭窄要做哪些检查?

    腰椎管狭窄要做哪些检查?

    腰椎管狭窄症早期表现为腰痛、腰胀、腰紧束感,得了腰椎管狭窄,将会影响患者的生活和工作。因此,当发现疑似症状时,应及时到正规医院接受治疗,同时也要配合检查,才能正确断症。那么,腰椎管狭窄要做哪些检查? 1、正位X线片: 常显示腰椎轻度侧弯,关节

    发布时间:2014-02-11|来自:健康科普
  • 患有腰椎滑脱怎么治疗效果好?

    患有腰椎滑脱怎么治疗效果好?

    患有腰椎滑脱怎么治疗效果好?这是腰椎滑脱患者最为关注的问题,广东药学院附属第三医院骨科专家指出,腰椎滑脱的治疗方法主要有保守治疗、传统手术治疗、微创治疗三种。下面我们来详细介绍这三种方法。 腰椎滑脱怎么治疗好?广东药学院附属第三医院骨科专家

    发布时间:2014-02-11|来自:健康科普
  • 患有直肠炎不治会有哪些危害?

    患有直肠炎不治会有哪些危害?

    人们的生活也越来越紧凑,导致人们的肠胃越来越不好,在加上饮食的不规律,肠道疾病由此而来。其中直肠炎是最常见的,别看直肠炎是小病,但是不及时治疗,会给患者带来很大危害。直肠炎不及时治疗会有哪些危害? 广东药学院附属第三医院专家表示,直肠炎不及

    发布时间:2014-01-22|来自:健康科普
  • 患有胃病在饮食上需要注意什么?

    患有胃病在饮食上需要注意什么?

    胃痛虽可由多种疾病引起,但最为常见的疾病是慢性胃炎和消化性溃疡,由于这两种疾病是一个慢性发展的反复波动、迁延难愈或易复发性疾病,因此对胃痛者的饮食调理尤为重要,胃痛病人的饮食要求如下: 1、首先要纠正不良的饮食习惯 。多食清淡,少食肥甘及各种

    发布时间:2014-01-22|来自:健康科普
  • 经常感觉胃疼怎么办?

    经常感觉胃疼怎么办?

    经常感觉到胃疼有可能是胃炎引起的。引起胃痛胃胀的主要原因就是胃炎和溃疡,建议到正规的医院做个胃镜检查来确诊一下。明确诊断对症治疗。平时在饮食上要注意,油腻、生冷及辛辣的刺激性食物千万不可以吃。广州看胃病哪家医院最好?胃痛经常被我们所忽视,

    发布时间:2014-01-22|来自:健康科普
  • 脑肿瘤会不会遗传?

    脑肿瘤会不会遗传?

    之前有报道出,一家兄妹六人有四人患上脑癌而拖累全家的新闻,让我们看到了脑肿瘤家族集聚现象的可怕。事实上,如乳腺癌、胰腺癌一样,脑癌也是存在一定的家族集聚现象的,但是却不是很明显。因为毕竟生活习惯对于脑癌的这种家族集聚现象影响力是有限的。 日

    发布时间:2014-01-21|来自:健康科普
  • 胃结石有哪些常见症状?

    胃结石有哪些常见症状?

    在生活当中,胃结石的例子真的是鲜见不鲜,导致胃结石的病因有很多,大多是由于吃了不易消化的食物而凝结成块。关于胃结石的症状很多人不理解,下面我们就来对胃结石的症状进行详细地介绍。 胃结石常见的三种症状 1、胃结石可发生于任何年龄阶段的人,从婴儿

    发布时间:2013-12-16|来自:健康科普
  • 肛门指检在什么年龄做比较好?

    肛门指检在什么年龄做比较好?

    肛肠外科专家呼吁,应把肛门指检作为常规检查项目。特别是55岁以上人群,必须每年做1次指检和肠镜检查。 肛肠外科专家介绍说,尽管指检对早期发现肠癌很有帮助,但临床主动接受肛门指检的人很少,接受肠镜检查的患者更是寥寥无几。因此,失去了早期干预的机

    发布时间:2013-12-16|来自:健康科普
  • 心胸外科术后如何护理?

    心胸外科术后如何护理?

    心胸外科术后护理有如下几点需要注意: 1、按外科一般术后和麻醉后护理常规护理。 2、详细了解手术过程情况,包括病情、输液、输血量、尿量、胸腔引流液量和胸腔引流瓶底水量标记。 3、术后予斜坡卧位,并给予氧气吸入,接心电监护测心率、血压、呼吸,血氧

    发布时间:2013-12-16|来自:健康科普