• 骨折不愈合怎么办?

    骨折不愈合怎么办?

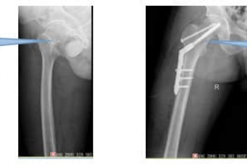
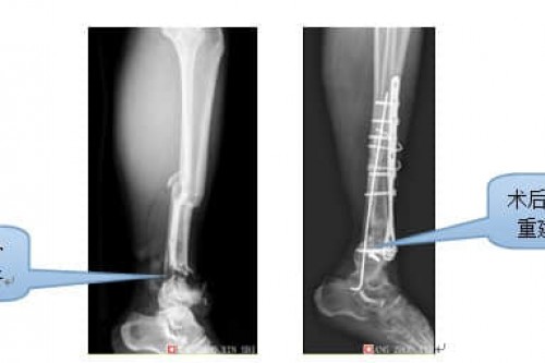
    【骨折不愈合的定义】 骨折不愈合至今仍无公认的定义,骨折类型不同,愈合时间亦不同。一般认为,骨折愈合超过正常愈合所需时间为延迟愈合,而骨折后6~8个月,骨折端仍有疼痛和异常活动,X线片显示断端骨痂极少或无骨痂形成,断端硬化、萎缩,髓腔封闭,断端

    发布时间:2015-11-18|来自:健康科普
  • 腰肌劳损的四大致病因素 腰肌劳损的预防措施

    腰肌劳损的四大致病因素 腰肌劳损的预防措施

    腰肌劳损的致病因素有哪些?对于此问题的提出,相信很多人对此都还不是很了解。一般性的对于此病的发生,其发病的主要原因就是由于长期的劳作,从而慢慢的导致患者自身肌肉损伤的情况发生。那么,对于其相应的导致其疾病发生的因素都有那些呢?对于此问题的

    发布时间:2015-10-31|来自:健康科普
  • 婴幼儿脑外伤的特点及注意事项

    婴幼儿脑外伤的特点及注意事项

    婴幼儿脑外伤的特点及注意事项 3月8日广东药学院附属第三医院收治了一名4个月大的脑外伤患儿曹某,经广州电视台直播广州和广东卫视等跟踪报道后引起大家对于婴幼儿脑外伤的关注。 曹某当天是被奶奶抱着在楼下散步时,突然从高处落下一酒瓶正巧砸在头上,顿时

    发布时间:2015-06-15|来自:健康科普
  • 老年人发生骨折应该怎么进行处理?

    老年人发生骨折应该怎么进行处理?

    随着年纪的增大,体质衰弱,很经常发生疾病,老年尤其容易出现跌倒损伤。老年人出现跌倒损伤,很容易发生骨折。那么,老年人发生骨折应该怎么进行处理? 广东药学院附属第三医院专家表示,在怀疑老年人发生骨折时,家属应询问其近日有无滑倒或跌伤的情况。如

    发布时间:2014-05-16|来自:健康科普
  • 成骨不全如何治疗?

    成骨不全如何治疗?

    广东药学院附属第三医院骨科康复专家指出,成骨不全无特殊治疗主要是预防骨折,改善负重力线,增加骨路强度,改善功能。 要严格的保护患儿,一直到骨折趋减少为止,但又要防止长期卧床的并发症。对骨折的治疗同正常人。但骨折愈合迅速,固定期可短。在矫正畸

    发布时间:2014-05-15|来自:健康科普
  • 骨盆骨折严重吗?

    骨盆骨折严重吗?

    骨盆骨折严重吗?骨盆骨折是一种严重外伤,占骨折总数的1~3%,半数以上伴有合并症或多发伤,致残率高达50~60%。最严重的是创伤性失血性休克及盆腔脏器合并伤,救治不当有很高的死亡率,可达10.2%。 广东药学院附属第三医院骨科专家介绍,骨盆骨折后常出现的

    发布时间:2014-04-24|来自:健康科普
  • 腰椎骨折的治疗方法?

    腰椎骨折的治疗方法?

    腰椎骨折的治疗方法?腰椎损伤一般是一种严重的损伤,可以引起人体感觉、运动和大、小便等功能障碍。因此。伤后搬运和护理十分重要。搬运时动作务必轻柔,一定要使患者的头、颈、躯干和下肢在同一平面整体搬移,放置于平坦的木板上,这是很关键的。腰椎骨折

    发布时间:2014-04-24|来自:健康科普
  • 患有痔疮平时需要注意什么?

    患有痔疮平时需要注意什么?

    患有痔疮平时需要注意什么?引起痔疮的原因很多,像久坐、久站、劳累等都会影响到血液循环,使盆腔内血流缓慢和腹内脏器充血,引起痔静脉过度充盈、曲张、隆起、静脉壁张力下降,从而引发痔疮。若运动不足,肠蠕动减慢,粪便下行迟缓或因习惯性便秘,也可导

    发布时间:2014-04-15|来自:健康科普
  • “看骨科就到广药三院”真实案例展示一

    “看骨科就到广药三院”真实案例展示一

    看骨科就到广东药科大学广州复星禅诚医院真实案例展示 骨科以技术质量创品牌,诚信服务求发展为宗旨,不断攻克技术难关,取得快速发展,治疗大量创伤、关节、手足外科、脊柱疾病病人,效果良好,广获百姓好评:看骨科就到广东药科大学广州复星禅诚医院。 以下是部分真实案例展示: 案例一 陈先生,男

    发布时间:2014-04-02|来自:健康科普
  • 真实案例展示四

    真实案例展示四

    真实案例展示四 患者吴女士,女,26岁,因腰背部疼痛向左小腿后外侧放射痛3天。清晨左下肢无力,摔倒在卫生间,急送本院,经检查,诊断为急性腰椎间盘突出症。当日行手术治疗,采用微创手术方式,半椎板咬除,损伤小,不影响脊柱的稳定性,术后3天下床活动。

    发布时间:2014-04-02|来自:健康科普
  • 真实案例五

    真实案例五

    真实案例五 刘先生,男,44岁,因从梯子上滑下臀部着地外伤致腰背部疼痛伴双下肢无力、麻木约2小时入我院骨科,诊断为第一腰椎骨折并不全瘫,于当晚在全麻下行腰一椎体压缩性骨折切口复位椎弓根内固定术,术后第一天双下肢肌力由III+级恢复到V级,但仍感双小

    发布时间:2014-04-02|来自:健康科普
  • 真实案例展示案例三

    真实案例展示案例三

    真实案例展示案例三 伤者钟女士,女,34岁,因右髌骨粉碎性骨折入院。入院后立即行开放复位内固定术,切口使用美容缝合。手术骨折复位满意,固定牢靠,术后1周下床活动。 如有疑问请与广东药学院附属第三医院专家联系,咨询预约QQ:4006011205、咨询预约电话

    发布时间:2014-04-02|来自:健康科普
  • 真实案例展示二

    真实案例展示二

    真实案例展示一: 舒先生,男,44岁,因车祸致左小腿中下段损伤入住骨科。术前检查见胫腓骨开放粉碎性骨折,皮肤和胫骨下段有缺损,碾压伤致组织挫伤严重,创腔内有泥沙、汽车油漆,污染严重。术中彻底清创,见胫骨下端关节面破碎成6小块,将各小块按解剖部

    发布时间:2014-04-02|来自:健康科普
  • 突发脑出血如何急救?

    突发脑出血如何急救?

    突发脑出血如何急救? 广东药学院附属第三医院权威专家说,目前世界逐渐步入老龄化,脑出血已成为一较为广泛发生的急症重症,我国每年因为脑出血死亡的患者约占全部疾病死亡的20%左右,严重威胁人们的健康。它起病急骤、病情凶险、死亡率非常高,是目前中老年

    发布时间:2014-03-25|来自:健康科普
  • 新市医院检查胸腺瘤有哪些方法?

    新市医院检查胸腺瘤有哪些方法?

    胸腺是人体重要的免疫起源于胚胎时期第3(或第4)鳃弓内胚层,系原始前肠上皮细胞衍生物,随胚胎生长发育而附入前纵隔。胸腺瘤是来源于胸腺上皮的肿瘤,约占前纵隔肿瘤的50% ,临床表现各异,常伴随很多自身免疫异常,近来对伴随自身免疫性肠病的认识渐受重

    发布时间:2014-03-25|来自:健康科普
  • 新市医院怎么治疗肛裂?

    新市医院怎么治疗肛裂?

    新市医院怎么治疗肛裂?肛裂肛裂是一种困扰很多人的肛门疾病,发病率仅次于痔疮。在日常生活中,也带来了无尽的烦恼,那肛裂的症状是什么呢?广东药学院附属第三医院专家介绍说,肛裂多由血热肠燥,大便秘结,排便过于用力,使肛门皮肤破裂、反复而发

    发布时间:2014-03-25|来自:健康科普
  • 老年人出现胃出血怎么办?

    老年人出现胃出血怎么办?

    很多老年胃肠疾病患者都是存在很多年没有得到治愈的,对于这些患者来说胃肠疾病的危害是巨大的,因为胃肠疾病的长期存在很容易使得患者出现癌变以及其他的巨大危害出现,对于老年患者来说胃肠疾病一定要及早的治疗。 老年人出现胃出血怎么办?锻炼是可以增加

    发布时间:2014-03-25|来自:健康科普
  • 骨折病人可以锻炼吗?

    骨折病人可以锻炼吗?

    骨折病人可以锻炼吗?由于工作的意外、生活的意外等导致骨折的病人很常见,但是有不少的骨折病人在拆除固定好,不注重康复锻炼,措施了康复的最佳时机。 广东药学院附属第三医院专家表示,部分骨折的患者在治疗期间由于没有重视康复训练,虽然骨折愈合,但是

    发布时间:2014-03-24|来自:健康科普
  • 患有轻微脑梗塞需要怎么治疗?

    患有轻微脑梗塞需要怎么治疗?

    很多的脑梗塞患者到了晚期才发现自己的病情,这时候已经到了很严重的地步,采取的治疗措施很有效且较小慢,病情的发展是需要一个过程的,在患病的初期进行治疗是最好的,脑梗塞也是,那么脑梗塞的初期有什么表现呢?下面广东药学院附属第三医院外科专家为您

    发布时间:2014-03-08|来自:健康科普
  • 导致胸腔积液有哪些病因?

    导致胸腔积液有哪些病因?

    胸腔积液常见于40岁以上的人群,是因为某种局部或全身病变导致胸腔内液体形成过快或吸收过缓的一种病变表现,严重者表现为进行性加重的胸痛和呼吸困难。导致胸腔积液有哪些病因? 胸腔积液产生的原因有哪些呢? 我们首先看看胸腔积液是怎么产生的,正常人胸

    发布时间:2014-03-06|来自:健康科普