仁心仁术 | 我院开展放射性粒子精准治疗右额肿瘤复发病灶一例
近日,我院肿瘤五科团队在罗鹏飞主任的带领下,成功完成了一例脑肿瘤放射性粒子植入术,使患者的局部肿瘤得到了有效控制,取得了满意的治疗效果。
患者蓝女士今年32岁,一年前在当地医院就诊发现脑部占位后,行右额颞叶低级别星形细胞瘤切除术,并结合化疗和放疗诊治,病程好转。但今年5月,患者头晕头痛明显,在当地医院复查时,考虑有肿瘤复发的情况。蓝女士通过朋友询问,立马辗转到广东药科大学广州复星禅诚医院,找到肿瘤五科主任罗鹏飞教授,目的是降颅压和得到肿瘤精准治疗。

仁心仁术 全心全意为患者
在对蓝女士的病情进行了详细的评估之后,罗鹏飞团队决定为其进行碘125放射性粒子植入术——将放射性粒子植入肿瘤病灶内,让放射性粒子释放γ射线持续照射杀伤肿瘤细胞,从而达到局部治疗或缓解症状的目的。


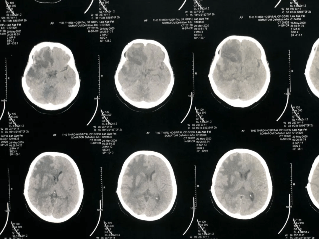
术前MR+CT片,显示巨大的复发肿瘤
手术前,肿瘤五科团队根据规范流程,做了一系列的准备:
1.根据肿瘤的位置、大小、恶变程度等,确定合理剂量;
2.3D打印模拟技术,根据蓝女士病灶位置、肿瘤形态、检查结果等确定粒子植入的位置和密度。

术前精准定位
在严峻的考验下,穿刺经验丰富的罗鹏飞教授镇定自若,利用稳准快的操作手法,与积极配合的护士团队强强联合,手术进行得很顺利,彰显了一流的手术,为患者带来了康复的希望!

共植入0.9mcv碘125粒子30
术后患者蓝女士无任何不适,且恢复良好。其家属对广东药科大学广州复星禅诚医院肿瘤五科精湛的医疗技术和医护人员的热忱服务,深表满意和感谢。


罗鹏飞主任介绍,粒子植入治疗肿瘤对患者损伤小,没有手术的局限性,对于外科手术不能承受的患者可以适用,对于失去手术机会和术后复发的患者也可以适用。相比传统放疗,它还减少了对其他健康组织损伤的风险,从而提高治疗和器官功能保护的机会,具有高度适形、靶区高剂量、显著提高靶区局部与正常组织剂量分配比的优点,能有效缓解患者的临床症状,提高患者生存质量,植入后对正常组织损伤极轻微。

罗鹏飞 主任医师 教授
中央保健会诊专家 国务院特殊津贴专家
专家履历:罗鹏飞教授作为我国介入医学奠基人之一,广东省介入医学泰斗,是中央保健局专家,我国著名放射介入学、肿瘤学资深专家,享受国务院特殊津贴。他多次获国家级、省级等科研立项及成果。鉴于他在临床和学术上的突出贡献,2010年中华医学会 向其授予“杰出贡献奖”。
擅长领域:对各类肿瘤的介入治疗具有非常丰富的临床经验,尤其擅长肝脏肿瘤、肺癌、肠肿瘤肝转移等实体肿瘤的介入治疗。
社会职务:肿瘤放射介入学著名专家,广东药科大学附属第三医院肿瘤微创治疗中心学科带头人,广东省肿瘤防治中心副主任,广东省人民医院介入肿瘤科主任、硕士研究生导师。中山大学兼职教授、国务院专家贡献津贴享受者、中央保健办会诊专家组成员、中华医学会介入放射学会副主委、中国抗癌协会肿瘤介入诊疗专业委员会副主委、广东省介入学组组长、中华放射学杂志编委。
荣誉成就:多次获国家级、省级等科研立项及成果,曾主编或副主编医学专著5本,在国内外重要期刊发表论文80余篇。
(部分证书展示)

国务院特殊津贴证书

中央保健会诊专家聘书

介入放射学杰出贡献奖

全国卫生系统优秀留学回国人员
粤公网安44011102003370备号 |